すべての投稿
インプラント
欠損部の補綴にインプラントを希望


| 主訴 | 欠損部の補綴にインプラントを希望 |
|---|---|
| 年齢・性別 | 65歳 男性 |
| 治療期間・回数 | 8か月 11回 |
| 費用 | 骨造成 30,000 インプラント 300,000×2 |
インプラント
右上4番目がぐらつく 押さえると痛む


| 主訴 | 右上4番目がぐらつく 押さえると痛む |
|---|---|
| 年齢・性別 | 57歳 男性 |
| 治療期間・回数 | 8か月 10回 |
| 費用 | CT 15,000 骨造成 85,000 インプラント 270,000 |
| 備考 | CT画像より右上4番の近心歯周ポケットが根尖近くまで存在し、口蓋側まで繋がっており、予後不良と判断してインプラント治療を行う予定とした。 右上5番は口蓋側に根尖付近のポケットがあったが咬合性外傷による動揺であり、保存可能と判断。 4番骨造成時にフラップ手術を行った。 |
マウスピース矯正審美歯科(セラミック)
マウスピース症例(34歳・女性)

Before

After
| 主訴 | 歯並びが気になる。 |
|---|---|
| 診断名 | 上下叢生 |
| 年齢・性別 | 34歳・女性 |
| 治療期間・回数 | 23回 1年8か月 |
| 治療方法 | マウスピース矯正 |
| 費用 | 434,500円(税込) |
| デメリット・注意点 | 保険外治療 |
| 備考 | 下顎前歯部の隙間のコントロールが必要であった。 |
マウスピース矯正審美歯科(セラミック)
マウスピース・審美症例(19歳・女性)

Before

After
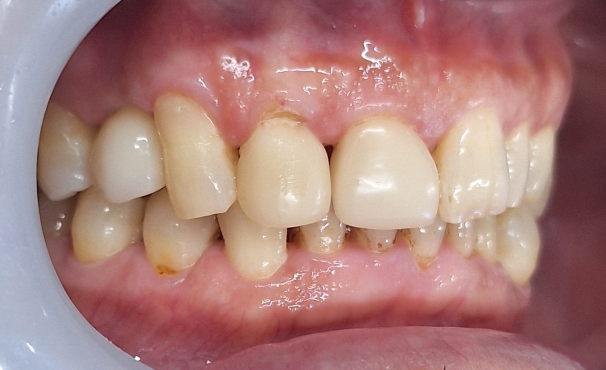
| 主訴 | 外傷による審美障害 |
|---|---|
| 診断名 | 上顎前歯叢生、左上1番外傷 |
| 年齢・性別 | 19歳・女性 |
| 治療期間・回数 | 矯正と補綴治療合わせて 2年5か月 31回 |
| 治療方法 | 矯正 ワイヤー矯正 マウスピース矯正 補綴 FC ジルコニア |
| 費用 | マウスピース矯正 245,300 (税込み) 補綴(FC+ジルコニア) 99,000 (税込み) |
| デメリット・注意点 | 保険外治療 |
| 備考 | 右上2番の被蓋改善に苦労したのと、外傷でピンクスポットがみられていたが、途中で右上1番の神経がやられてしまい、根の治療も行った為時間を要した。 |
ホワイトニング
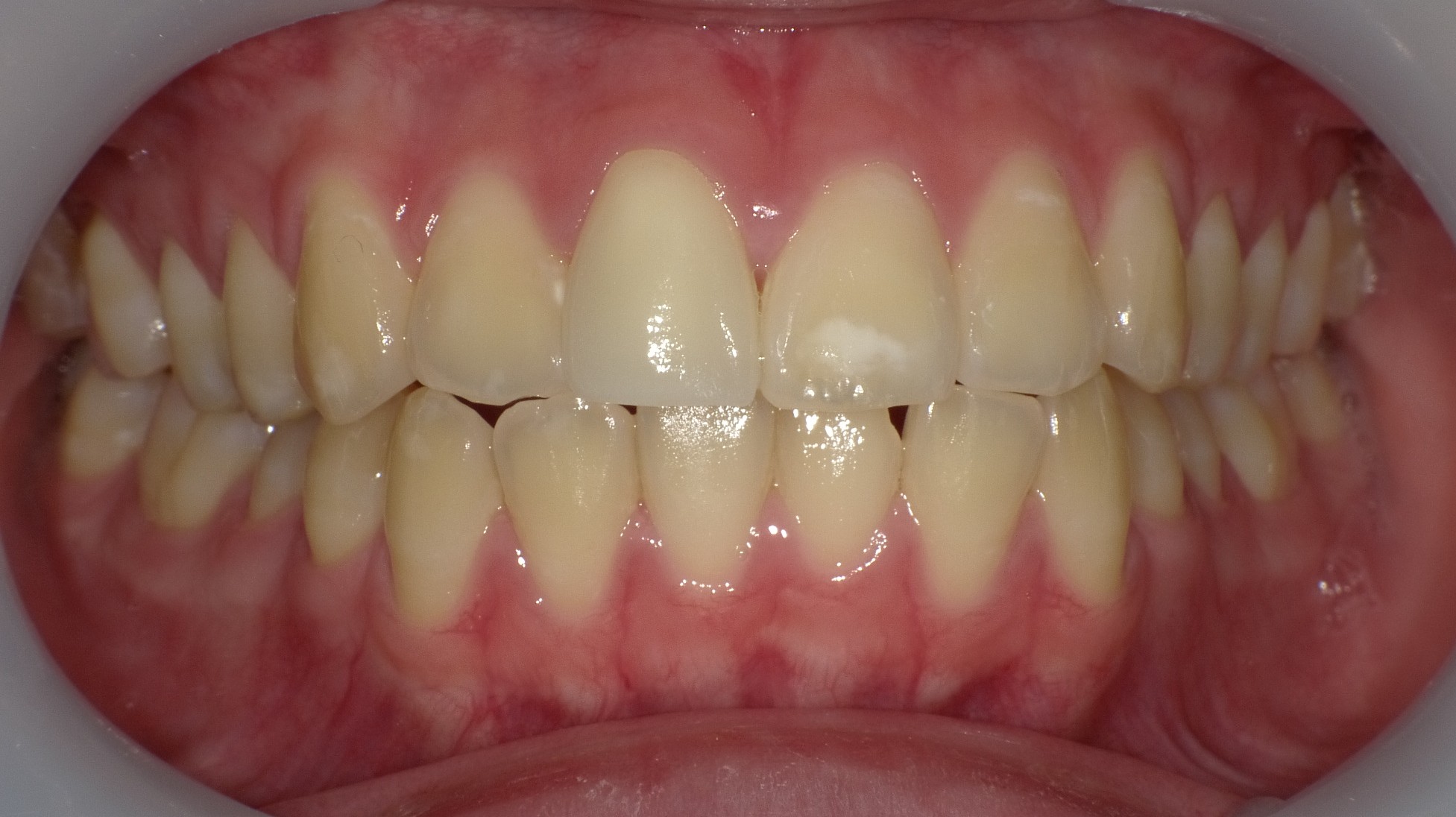
ホワイトニング症例(26歳・女性)

Before

After
| 主訴 | 歯の着色が気になる。歯を白くしたい。 |
|---|---|
| 年齢・性別 | 26歳・女性 |
| 治療期間・回数 | 3回 |
| 治療方法 | オフィスホワイトニング |
| 費用 | 39,600円(税込み) |
| デメリット・注意点 | 自費診療のため費用がかかる。 |

