インプラント
インプラント
欠損部の補綴にインプラントを希望


| 主訴 | 欠損部の補綴にインプラントを希望 |
|---|---|
| 年齢・性別 | 65歳 男性 |
| 治療期間・回数 | 8か月 11回 |
| 費用 | 骨造成 30,000 インプラント 300,000×2 |
インプラント
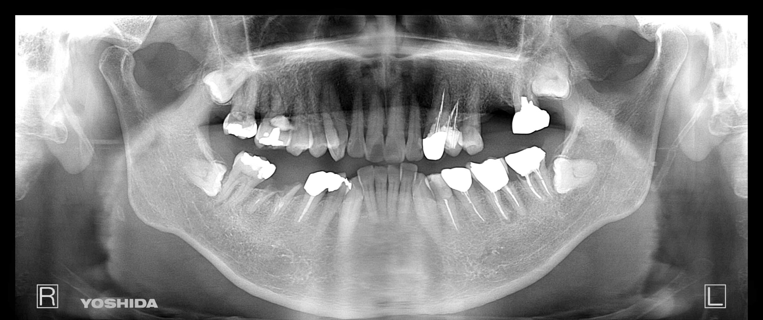
右上4番目がぐらつく 押さえると痛む


| 主訴 | 右上4番目がぐらつく 押さえると痛む |
|---|---|
| 年齢・性別 | 57歳 男性 |
| 治療期間・回数 | 8か月 10回 |
| 費用 | CT 15,000 骨造成 85,000 インプラント 270,000 |
| 備考 | CT画像より右上4番の近心歯周ポケットが根尖近くまで存在し、口蓋側まで繋がっており、予後不良と判断してインプラント治療を行う予定とした。 右上5番は口蓋側に根尖付近のポケットがあったが咬合性外傷による動揺であり、保存可能と判断。 4番骨造成時にフラップ手術を行った。 |
インプラント
インプラント症例

Before

After
| 年齢・性別 | 59歳・男性 |
|---|---|
| 治療期間・回数 | 約7か月 |
| 治療方法 | インプラント埋入 上部構造 骨造成 |
| 費用 | インプラント埋入:200,000×5 上部構造:100,000×5 骨造成:30,000 合計:1,530,000円×Tax |
| 備考 | クロスバイトが所々あり、奥歯が崩壊しているのは咬合が強い方と思われました。 ナイトガードせず数年経過していますが、経過良好です。 |
インプラント
むし歯で歯を失ってしまった方へのインプラント症例

Before

After
| 主訴 | むし歯で歯を失った |
|---|---|
| 年齢・性別 | 42歳・男性 |
| 治療方法 | インプラント埋入 |
| 費用 | 合計:330,000円 |
| デメリット・注意点 | 自費診療のため費用がかかる。定期メンテナンスが必要。 |
| 備考 | 右下の最後臼歯がカリエスになり抜歯。 途中で切断し経過観察。経過良好で本人希望により2本埋入が理想ですが、最後臼歯のみインプラント埋入。 |
インプラント
奥歯で噛めない方へのインプラント症例

Before

After
| 主訴 | 奥歯で噛めない・入れ歯が合わない |
|---|---|
| 年齢・性別 | 72歳・女性 |
| 治療期間・回数 | 10ヶ月(他の治療も同時進行) |
| 治療方法 | 骨造成・インプラント埋入 |
| 費用 | 合計:1,498,000円(骨造成を含む) |
| デメリット・注意点 | 自費診療のため費用がかかる。定期メンテナンスが必要。 |
| 備考 | 初診時、以前義歯を製作して貰ったみたいですが使用しておらず、奥歯で咬んでいない状態で来院。前歯が前方に出ているのが気になるとの事でした。 右上の端の歯は根の病変で保存不可能の状態でした。前歯の治療を含め奥歯にインプラント治療を選択しました。 |

