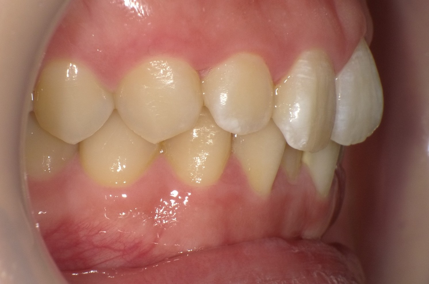
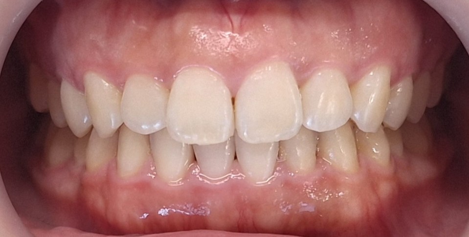
マウスピース矯正
マウスピース矯正
歯並びが気になる

Before

After
| 主訴 | 歯並びが気になる |
|---|---|
| 年齢・性別 | 26歳 女性 |
| 治療期間・回数 | 10か月 |
| 治療方法 | マウスピース矯正 |
| 費用 | 314600円 税込 |
| 備考 | 治療後半に親知らずの痛みがあったが、保定期間中に抜歯。 |
マウスピース矯正審美歯科(セラミック)
マウスピース症例(34歳・女性)

Before

After
| 主訴 | 歯並びが気になる。 |
|---|---|
| 診断名 | 上下叢生 |
| 年齢・性別 | 34歳・女性 |
| 治療期間・回数 | 23回 1年8か月 |
| 治療方法 | マウスピース矯正 |
| 費用 | 434,500円(税込) |
| デメリット・注意点 | 保険外治療 |
| 備考 | 下顎前歯部の隙間のコントロールが必要であった。 |
マウスピース矯正審美歯科(セラミック)
マウスピース・審美症例(19歳・女性)

Before

After
| 主訴 | 外傷による審美障害 |
|---|---|
| 診断名 | 上顎前歯叢生、左上1番外傷 |
| 年齢・性別 | 19歳・女性 |
| 治療期間・回数 | 矯正と補綴治療合わせて 2年5か月 31回 |
| 治療方法 | 矯正 ワイヤー矯正 マウスピース矯正 補綴 FC ジルコニア |
| 費用 | マウスピース矯正 245,300 (税込み) 補綴(FC+ジルコニア) 99,000 (税込み) |
| デメリット・注意点 | 保険外治療 |
| 備考 | 右上2番の被蓋改善に苦労したのと、外傷でピンクスポットがみられていたが、途中で右上1番の神経がやられてしまい、根の治療も行った為時間を要した。 |
マウスピース矯正
マウスピース矯正で歯並びを改善した症例

Before

After
| 主訴 | 歯並びを綺麗にしたい。 |
|---|---|
| 治療期間・回数 | 1年9月 |
| 治療方法 | マウスピース矯正 |
| 費用 | 727,100円(税込み) |
| デメリット・注意点 | 自費診療のため費用がかかる。 |
マウスピース矯正
上顎の歯並びをマウスピース矯正で改善した症例

Before

After
| 主訴 | 歯並びを綺麗にしたい。上顎のみ希望。 |
|---|---|
| 治療期間・回数 | Ⅰ期治療:治療期間10か月 Ⅱ期治療:治療期間2年3か月 |
| 治療方法 | Ⅰ期治療:右上6番を可撤式装置で程度後方移動させています。 Ⅱ期治療:マウスピース矯正 |
| 費用 | Ⅰ期治療:83,600円 Ⅱ期治療:198,000円(税込み) |
| デメリット・注意点 | 自費診療のため費用がかかる。 |

