半田市の歯医者なら すみれファミリー歯科
0569-58-8811
MENU
当院について
院長紹介
初めての方へ
お知らせ
ブログ
症例紹介
プライバシーポリシー
診療案内
むし歯治療
精密根管治療
歯周病治療
予防歯科
唾液検査
小児歯科・マタニティ歯科(市の妊婦検診は行っていません)
小児矯正
矯正歯科(マウスピース矯正)
インプラント
ポリリン酸ホワイトニング
ホームホワイトニング
審美治療(セラミック)
睡眠時無呼吸症候群
入れ歯
〒475-0078
愛知県半田市新池町2丁目201-19
0569-58-8811
CASE
症例紹介
カテゴリー
ホワイトニング
マウスピース矯正
審美歯科(セラミック)
小児矯正
インプラント
マウスピース矯正
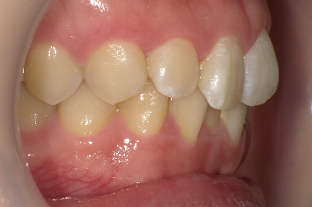
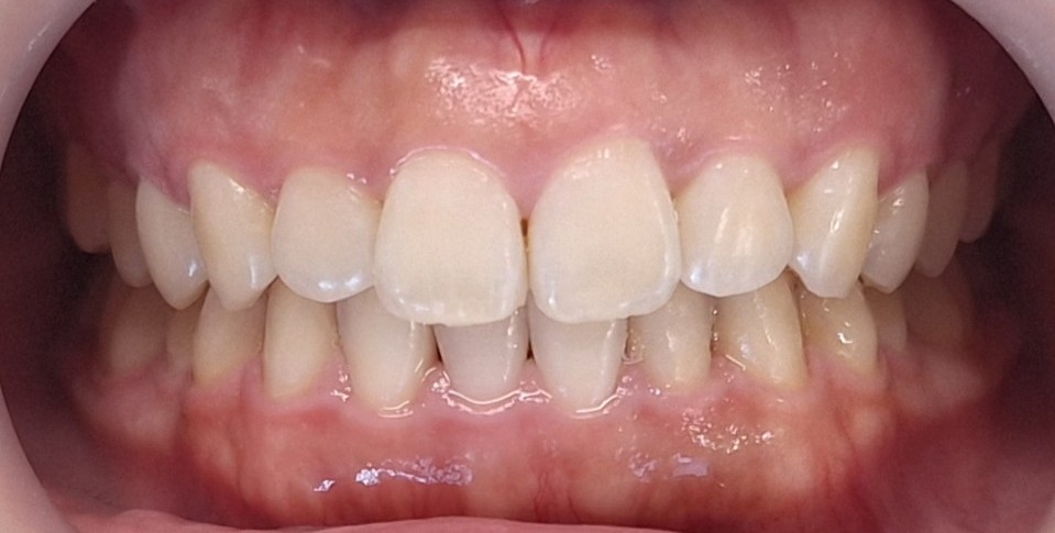
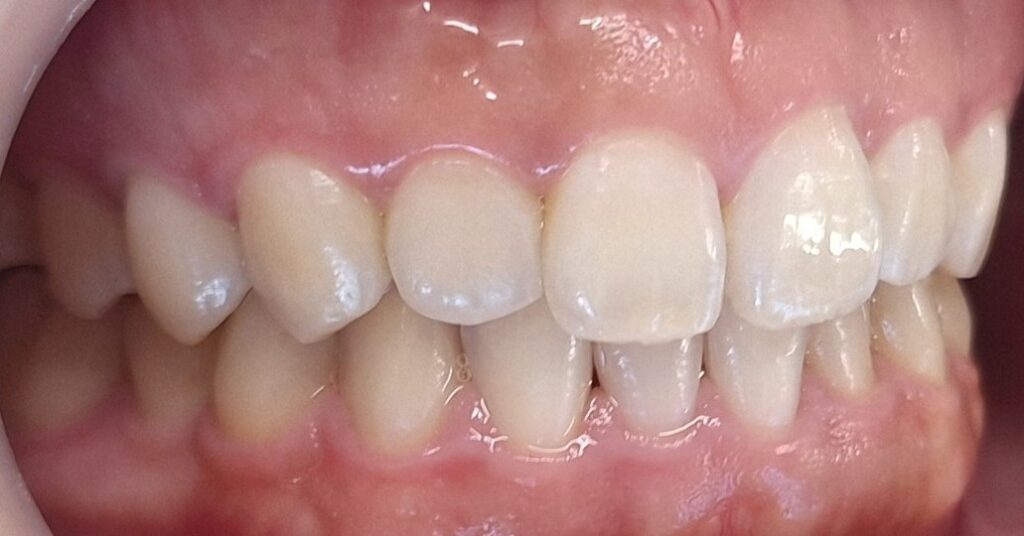
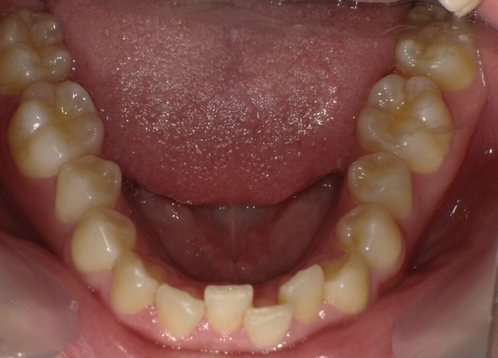
歯並びが気になる
Before
After
主訴
歯並びが気になる
年齢・性別
26歳 女性
治療期間・回数
10か月
治療方法
マウスピース矯正
費用
314600円 税込
備考
治療後半に親知らずの痛みがあったが、保定期間中に抜歯。
治療前
治療後
ALL
HOME
症例紹介
マウスピース矯正
歯並びが気になる