インプラント
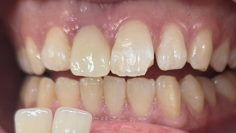
外傷で歯を失った方へのインプラント症例

Before(インプラント埋入時)

After
| 主訴 | 外傷 |
|---|---|
| 治療期間・回数 | 11ヶ月 |
| 治療方法 | 右上1インプラント埋入(追加処置:CT撮影・外傷に起因する炎症除去処置・人口骨・ワックスアップ・仮歯 外傷による骨炎症の除去と治癒期間に時間が掛かってしまいましたが、被せ物の清掃性を仮歯で確認して、最終の被せ物に移行しました。 |
| 費用 | 411,950円(税込み) |
| デメリット・注意点 | 自費診療のため費用がかかる。定期メンテナンスが必要。 |
仮歯装着時(インプラント埋入後)


