0569-58-8811
MENU
当院について
院長紹介
初めての方へ
お知らせ
ブログ
症例紹介
プライバシーポリシー
診療案内
むし歯治療
精密根管治療
歯周病治療
予防歯科
唾液検査
小児歯科・マタニティ歯科(市の妊婦検診は行っていません)
小児矯正
矯正歯科(マウスピース矯正)
インプラント
ポリリン酸ホワイトニング
ホームホワイトニング
審美治療(セラミック)
睡眠時無呼吸症候群
入れ歯
〒475-0078
愛知県半田市新池町2丁目201-19
0569-58-8811
CASE
症例紹介
カテゴリー
インプラント
ホワイトニング
マウスピース矯正
出っ歯
受け口・しゃくれ
審美歯科(セラミック)
小児矯正
成人矯正
歯がガタガタ
矯正歯科
審美歯科(セラミック)
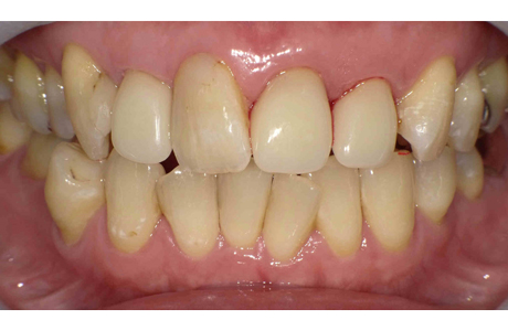
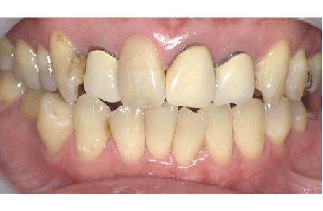
前歯の被せ物を作り替えた審美歯科症例
Before
After
主訴
前歯の見た目が気になる。
年齢・性別
39歳・女性
治療期間・回数
3回
治療方法
審美修復・CAD冠
費用
保険適用
デメリット・注意点
知覚過敏のリスクあり
ALL
HOME
症例紹介
審美歯科(セラミック)
前歯の被せ物を作り替えた審美歯科症例