半田市の歯医者なら すみれファミリー歯科
0569-58-8811
MENU
当院について
院長紹介
初めての方へ
お知らせ
ブログ
症例紹介
プライバシーポリシー
診療案内
むし歯治療
精密根管治療
歯周病治療
予防歯科
唾液検査
小児歯科・マタニティ歯科(市の妊婦検診は行っていません)
小児矯正
矯正歯科(マウスピース矯正)
インプラント
ポリリン酸ホワイトニング
ホームホワイトニング
審美治療(セラミック)
睡眠時無呼吸症候群
入れ歯
〒475-0078
愛知県半田市新池町2丁目201-19
0569-58-8811
CASE
症例紹介
カテゴリー
ホワイトニング
マウスピース矯正
審美歯科(セラミック)
小児矯正
インプラント
インプラント
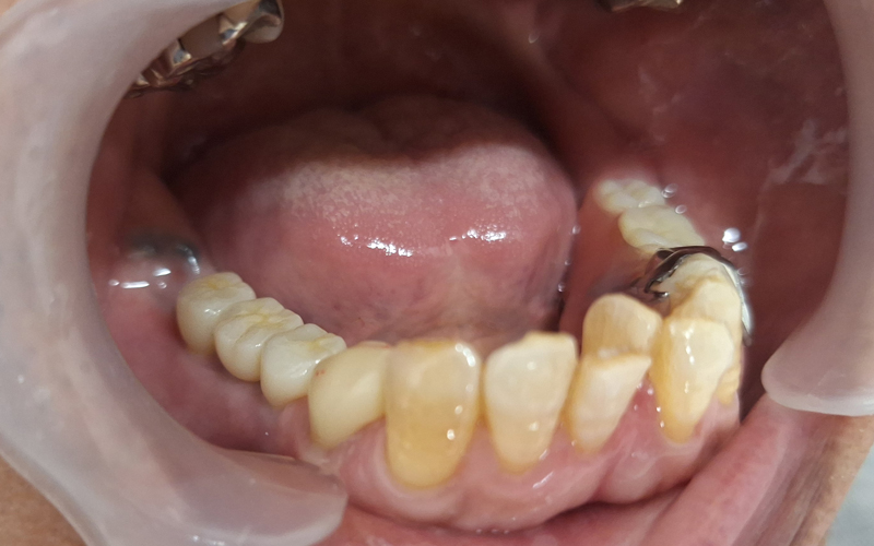
入れ歯が合わない方へのインプラント症例
レントゲン(インプラント埋入後)
治療後
主訴
右下の入れ歯が合わない。
治療期間・回数
3ヶ月
治療方法
右下インプラントブリッジ2本(3歯分)※追加処置なし
費用
773,300円(税込み)
デメリット・注意点
自費診療のため費用がかかる。定期メンテナンスが必要。
備考
入れ歯で苦労されてきた方でした。左側の義歯新製後何度か調整致しましたが、現在経過良好です。
治療後
ALL
HOME
症例紹介
インプラント
入れ歯が合わない方へのインプラント症例