半田市の歯医者なら すみれファミリー歯科

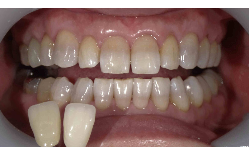
CASE 症例紹介