半田市の歯医者なら すみれファミリー歯科
0569-58-8811
MENU
当院について
院長紹介
初めての方へ
お知らせ
ブログ
症例紹介
プライバシーポリシー
診療案内
むし歯治療
精密根管治療
歯周病治療
予防歯科
唾液検査
小児歯科・マタニティ歯科(市の妊婦検診は行っていません)
小児矯正
矯正歯科(マウスピース矯正)
インプラント
ポリリン酸ホワイトニング
ホームホワイトニング
審美治療(セラミック)
睡眠時無呼吸症候群
入れ歯
〒475-0078
愛知県半田市新池町2丁目201-19
0569-58-8811
CASE
症例紹介
カテゴリー
ホワイトニング
マウスピース矯正
審美歯科(セラミック)
小児矯正
インプラント
ホワイトニング
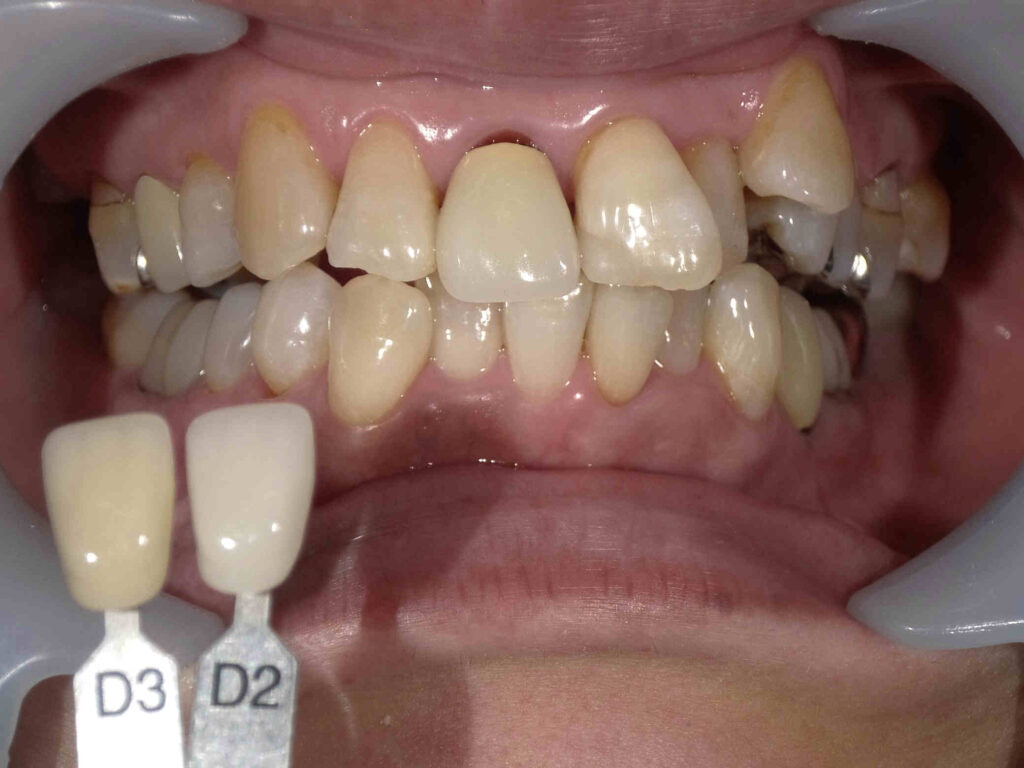
ホワイトニング症例(46歳・女性)
Before
After
主訴
歯の着色が気になる。歯を白くしたい。
年齢・性別
46歳・女性
治療期間・回数
3回
治療方法
ホワイトニング
費用
合計:39,600円
デメリット・注意点
自費診療のため費用がかかる。
2回目
3回目
ALL
HOME
症例紹介
ホワイトニング
ホワイトニング症例(46歳・女性)