IMPLANT インプラント
すみれファミリー歯科のインプラントが選ばれる理由
患者様の将来を見据えた治療計画のご提案
当院ではインプラント治療において、患者さま一人ひとりの口腔状態を慎重に評価し、その方に最適な治療方法を提案することを重視しています。単にインプラントを選ぶのではなく、患者さまの将来を見据えた治療計画を立て、必要な場合にのみインプラント治療をお勧めしています。治療前には、口腔内の状況を綿密に確認し、十分な検討を重ねた上で治療を開始。豊富な経験に基づく高精度の技術で、安全かつ確実な治療を提供いたします。
歯科用CTでの精密診断
歯科用CTは、従来のレントゲン撮影とは異なり、骨組織や周辺組織の微細な構造を明確に捉えることが可能です。
特にインプラント手術においては、正確な骨密度の測定や骨量の評価が必要です。
また、周辺の神経や血管の位置を把握することで、手術中のリスクを最小限に抑えることができます。
特にインプラント手術においては、正確な骨密度の測定や骨量の評価が必要です。
また、周辺の神経や血管の位置を把握することで、手術中のリスクを最小限に抑えることができます。
ガイドを使用し切開しないインプラント手術
サージカルガイドを使用したインプラント手術は、切開を伴わずに安全かつ正確な方法でインプラントを埋入する革新的なアプローチです。この手法では、事前に患者の口腔内をスキャンし、3次元のデジタルモデルを作成します。その後、このモデルを基にしてインプラントの位置と角度を計画し、手術用のカスタムガイドを製作します。
患者様にとって負担が少なく、手術のリスクを最小限に抑えつつ、高い精度と安全性を確保します。
患者様にとって負担が少なく、手術のリスクを最小限に抑えつつ、高い精度と安全性を確保します。
骨が薄い方への治療も可能
インプラントを埋入するには、顎の骨に一定の厚みが必要です。骨の量が不足していたり、骨が薄い場合には、他の歯科医院で「インプラント治療は難しい」と言われた経験がある方もいらっしゃるかもしれません。
当院では、骨の厚みが「少し足りない」場合でも、ソケットリフト(骨の厚みが不十分な場合の治療法)やGBR(骨誘導再生法)などの技術を駆使して、患者様の状態に応じた適切な治療を行っています。
当院では、骨の厚みが「少し足りない」場合でも、ソケットリフト(骨の厚みが不十分な場合の治療法)やGBR(骨誘導再生法)などの技術を駆使して、患者様の状態に応じた適切な治療を行っています。
失った歯を取り戻す
インプラント治療
歯を失ってしまった場合に行うインプラント治療はご存知ですか?失ってしまった部分に人工の歯を埋め込んで補う治療方法ですが、しっかりと固定されるので天然歯と同じような感覚で噛んだり話をしたりすることができます。
また、入れ歯のように外れたり、外して洗浄する必要もありません。
入れ歯やブリッジが合わなくてお悩みの方は一度お気軽にご相談ください。
こんなお悩みはありませんか?
- むし歯や歯周病で歯を失ってしまった
- 入れ歯は入れたくない
- 今までと同じように食事を楽しみたい
- 歯を失ってしまったまま放置している
医療費控除とデンタルローンについて
インプラント治療にかかった費用は、医療費控除の対象となります。
確定申告のときに申請すると、所得総額と治療費に応じて所得税が一部戻ってきます。
また、デンタルローンや各種カードもご利用頂けます。治療費について不安な方はお気軽にご相談ください。
デンタルローンについて
確定申告のときに申請すると、所得総額と治療費に応じて所得税が一部戻ってきます。
また、デンタルローンや各種カードもご利用頂けます。治療費について不安な方はお気軽にご相談ください。
インプラント治療の流れ
Step01
口腔内検査、精密検査
インプラント治療を行うのに必要な検査を行います。
まずはレントゲン撮影を行い、あなたの口腔内がインプラント治療が可能かどうかをチェックします。
まずはレントゲン撮影を行い、あなたの口腔内がインプラント治療が可能かどうかをチェックします。
Step02
手術前処置
インプラント治療が可能な場合は、手術の前に虫歯や歯周病の治療を行い口腔内の環境を整えます。
Step03
インプラント手術
インプラント(人工歯根)を顎の骨に埋める手術を行います。既存骨が少ない場合は人工骨を検討します。
Step04
治癒期間
手術後はインプラントが顎の骨としっかりと結合するまでの治癒期間(3ヶ月~6ヶ月)が必要です。
Step05
メンテナンス(定期検診)
インプラントは人工物であり、虫歯にはなりませんが、周囲に歯石やプラークが溜まると歯周病のリスクが高まります。放置すると、最悪の場合、インプラントを除去する必要が出てきます。
これらのトラブルを防ぐためには、天然の歯と同様に毎日のブラッシングや定期的な歯科健診を受け、プラークや歯石の除去などのメンテナンスをしっかり行うことが重要です。
これらのトラブルを防ぐためには、天然の歯と同様に毎日のブラッシングや定期的な歯科健診を受け、プラークや歯石の除去などのメンテナンスをしっかり行うことが重要です。
インプラント治療の症例紹介
インプラントの症例①

仮歯装着時(インプラント埋入後)

治療後

レントゲン(インプラント埋入後)
| 主訴 | 外傷 |
|---|---|
| 治療期間・回数 | 11ヶ月 |
| 治療方法 | 右上1インプラント埋入(追加処置:CT撮影・外傷に起因する炎症除去処置・人口骨・ワックスアップ・仮歯 外傷による骨炎症の除去と治癒期間に時間が掛かってしまいましたが、被せ物の清掃性を仮歯で確認して、最終の被せ物に移行しました。 |
| 費用 | 411,950円(税込み) |
| デメリット・注意点 | 自費診療のため費用がかかる。定期メンテナンスが必要。 |
インプラントの症例②

レントゲン(インプラント埋入後)

治療後
| 主訴 | 多数欠損 |
|---|---|
| 治療期間・回数 | 2年2ヶ月 |
| 治療方法 | 上下顎インプラント埋入9本(11歯分)・下顎前歯ジルコニアブリッジ(6歯分)・左上1歯ジルコニア |
| 費用 | 3,539,800円(税込み) |
| デメリット・注意点 | 自費診療のため費用がかかる。定期メンテナンスが必要。 |
| 備考 | 右下の天然歯がインプラントによる咬合確立によって守られ、喜ばしい事と思われる。 |
インプラントの症例③

治療後①

治療後②

レントゲン(インプラント埋入後)
| 主訴 | 右下の入れ歯が合わない。 |
|---|---|
| 治療期間・回数 | 3ヶ月 |
| 治療方法 | 右下インプラントブリッジ2本(3歯分)※追加処置なし |
| 費用 | 773,300円(税込み) |
| デメリット・注意点 | 自費診療のため費用がかかる。定期メンテナンスが必要。 |
| 備考 | 入れ歯で苦労されてきた方でした。左側の義歯新製後何度か調整致しましたが、現在経過良好です。 |
インプラントの症例④

初診時パノラマ

左下インプラント埋入

右下インプラント埋入

左下インプラント追加埋入

上部構造セット後

上部構造セット後

上部構造セット後
| 主訴 | 歯根破折 |
|---|---|
| 治療方法 | インプラント&抜歯窩治癒促進処置 |
| 費用 | トータル 1,310,000円(税別) |
| デメリット・注意点 | 自費診療のため費用がかかる。定期メンテナンスが必要。 |
| 備考 | 【治療詳細】 右下の6番延長ブリッジの根が太く長い土台の金属が入っており、歯根破折しておりました。 左側の7番も同様に歯根破折しておりました。 左側インプラント治療後。患者さん希望の為、インプラント体1本に対して2本分の被せ物で補綴。 案の定、内部のネジの緩みが何度か発生。 右下が保存不可能になった為、インプラント2本埋入。 右下のインプラントが経過良く、左下のインプラントの追加を希望されましたので、被せ物をいったん除去して追加埋入。 補綴完了後の口腔内。現在最初のインプラント埋入から5年経過しておりますが、経過良好です。 左下6番のみ被せ物の内部に金属を使用していますが、他はフルジルコニア。 アクセスする穴にレジンを使用しています。 |
インプラントの症例⑤

初診時(左下の歯が割れている状態)

骨造成後

補綴後

インプラント埋入後(治癒待ち)

補綴セット後

補綴セット後
| 主訴 | 歯根破折 |
|---|---|
| 治療方法 | 骨造成・インプラント埋入 |
| 費用 | 骨造成:30,000 インプラント埋入:200,000×2 上部構造:100,000×3 合計:730,000+Tax=803,000円 |
| デメリット・注意点 | 自費診療のため費用がかかる。定期メンテナンスが必要。 |
| 備考 | インプラント4本埋入が理想ですが、2本に抑えて最小限の補綴を行った。 |
インプラントの症例⑥

初診時1

初診時2

初診時3

インプラント埋入・上部構造セット後
| 治療方法 | インプラント埋入 |
|---|---|
| 費用 | インプラント300,000×5=1500,000 骨吸収抑制剤 10,000 合計 1,510,000+Tax=1,661,000円 |
| デメリット・注意点 | 自費診療のため費用がかかる。定期メンテナンスが必要。 |
| 備考 | ・奥歯に負担が強くかかってしまう嚙み合わせの為、前歯よりも奥歯が崩壊し易い。(初診時1) ・初診時右上3番から6番の4本が噛んでいない状態であった。(初診時2、3) ・左上5番抜歯して左上3本インプラント計画もあったが、5番天然歯、隣接インプラント共に現在経過良好で、お食事を楽しまれている様子です。 |
インプラントの症例⑦

初診時1

初診時2

治療後
| 治療方法 | インプラント埋入 |
|---|---|
| 性別・年齢 | 男性・55歳 |
| 治療期間 | 他の治療も多かったので、抜歯も含め埋入~セットまで概ね8か月 |
| 費用 | インプラント:1,500,000円+Tax 骨造成:40,000円+Tax |
| デメリット・注意点 | 自費診療のため費用がかかる。定期メンテナンスが必要。 |
| 備考 | 噛む力が強く、上の前歯裏の金属により下の前歯が神経に達するぐらい擦れている状態だった。 それと共に右上下のむし歯により抜歯が必要であり、入れ歯では今後の維持が難しくインプラントにより噛み合わせを確立する治療選択となった。 |
インプラントの症例⑧

初診時

治療後
| 治療方法 | インプラント埋入 |
|---|---|
| 性別・年齢 | 72歳・女性 |
| 治療期間 | 10ヶ月(他の治療も同時進行) |
| 費用 | 1,498,000円(骨造成を含む) |
| デメリット・注意点 | 自費診療のため費用がかかる。定期メンテナンスが必要。 |
| 備考 | 初診時、以前義歯を製作して貰ったみたいですが使用しておらず、奥歯で咬んでいない状態で来院。前歯が前方に出ているのが気になるとの事でした。 右上の端の歯は根の病変で保存不可能の状態でした。前歯の治療を含め奥歯にインプラント治療を選択しました。 |
インプラントの症例⑨

初診時

埋入後

治療後
| 治療方法 | インプラント埋入 |
|---|---|
| 性別・年齢 | 42歳・男性 |
| 費用 | 330,000円(税込み) |
| デメリット・注意点 | 自費診療のため費用がかかる。定期メンテナンスが必要。 |
| 備考 | 右下の最後臼歯がカリエスになり抜歯。 途中で切断し経過観察。経過良好で本人希望により2本埋入が理想ですが、最後臼歯のみインプラント埋入。 |
インプラントの症例⑩

初診時

治療後
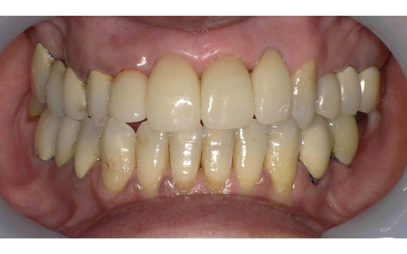
| 主訴 | 見た目が気になる |
|---|---|
| 性別 | 66歳/女性 |
| 治療方法 | 上顎 2~2 CAD冠 根管治療(1本) ファイバーの土台(3本) |
| デメリット・注意点 | 強い力がかかると欠ける場合がある。 |
料金
埋入
¥220,000
上部(スクリュー)
¥110,000
上部(セメント)
¥143,000
連結
¥3,300
2次ope
¥4,950
印象
1本 ¥3,300
TEK(仮歯)
¥3,300~27,500
テルプラグ
¥11,000
骨造成
33,000~¥55,000
※すべて税込です。
インプラント治療の注意点
- 保険外診療のため、治療費用が高くなる場合がある。
- 術後も定期的なメインテナンスをしないと、機能が落ちやすくなる。

