ESTHETIC 審美歯科(セラミック)
白く美しく理想の口元が叶う
セラミック治療
最近、審美に対する関心は高まっており、綺麗な歯や歯並びを希望する人が多くなってきています。しかし、審美治療はただ歯を白くしたり、形を整えれば良いというものでは在りません。大切なことは、口腔全体のバランスを考え、かつ機能的に治療してこそ本当の審美治療と言えるでしょう。 そこで当院では、患者さまとカウンセリングをし、美しく、そして正しい口腔機能が再現できるよう、最善の治療法を探していきます。
その前に前処置(かぶせる前のむし歯除去)が大事になってきます。 家造りと同じでやはり基礎工事をしっかりしないとその後の耐久性に影響してきます。
体に害の少ないメタルフリー治療
保険適用の範囲では、治療に使用する素材に制限があり、一般的なむし歯治療では主に金属が使用されます。保険診療のメリットとして、患者様の医療費負担が少ない点が挙げられますが、金属使用による身体的負担も考慮しなければなりません。
例えば、金属が口内で溶け出し、金属アレルギーのリスクが生じる可能性があります。また、審美的な観点から、歯や歯茎が黒ずんで見た目に影響が出ることもデメリットです。当院では、こうした身体的および精神的負担を軽減するため、金属を使用しないメタルフリー治療を推奨しています。
こんなお悩みはありませんか?
- 過去に入れた銀歯が気になる
- 歯の黒ずみが気になる
- 被せ物が周りの歯と違和感がある
当院の審美歯科(セラミック)治療の特徴
専門の歯科技工士との連携
特に被せ物の治療(補綴治療)では、歯を作る歯科技工士の技術が重要な役割を果たします。当院では、長年信頼関係を築いてきた歯科技工士と連携し、患者様に最適な歯の色や形を決定します。
※審美的な治療をご希望の方には、美しい仕上がりを実現するために、自費診療によるセラミック製の被せ物をご提案させていただきます。
型取りの不快感が少ない光学スキャナーの導入
被せ物や詰め物の型取りには、口腔内光学スキャナーを使用します。このスキャナーは、口腔内を高解像度でスキャンし、コンピューターで立体的に解析することで、従来の型取り方法と同等以上の精度を実現する『デジタル印象採得装置』です。従来の印象材を使った型取りに比べ、より短時間で快適な型取りが可能です。これにより、質の高い歯科医療を提供する環境が整いました。
審美歯科(セラミック)治療のメリット
むし歯や歯周病の予防
セラミック治療のメリットは、見た目の美しさだけではありません。セラミックはむし歯や歯周病の予防にも効果的です。
銀歯がむし歯や歯周病になりやすい理由
また、銀歯と歯を接着している歯科用セメントも劣化し、そこに隙間ができて細菌が入り込みやすくなります。さらに、銀歯の表面は歯垢などの汚れが付着しやすいため、むし歯のリスクが高まります。
セラミックがむし歯や歯周病になりにくい理由
また、セラミックそのものの品質が保たれるだけでなく、口腔内の環境への影響も最小限に抑えられるため、生体親和性に優れた材質です。
口元に自信がつく
審美歯科を行うことで、「歯並びが綺麗」「歯が白い」など、口周りの見栄えが良くなります。
一方、歯が黄ばんでいたり、歯並びが悪かったりすると、不健康な印象を与えてしまい、第一印象も良くありません。
歯にコンプレックスを抱えている人にとって、審美歯科で歯を美しくすることで自分に自信が付きます。
金属アレルギーの心配がない
セラミックは、金属のようにアレルギーを引き起こすことがほとんどありません。
ですから、セラミックで詰め物・被せ物を製作すれば、金属アレルギーのリスクをゼロにできるのです。
また、メタルフリー治療であれば、金属イオンの溶出・沈着によるメタルタトゥーのリスクもゼロとなります。
セラミック専門技工士
鈴木 翔太Syouta Suzuki
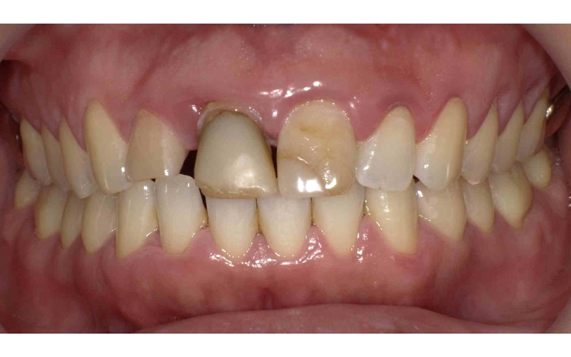
審美歯科の症例①

治療前

治療後
| 主訴 | 前歯審美障害 |
|---|---|
| 年齢・性別 | 27歳・女性 |
| 治療期間・回数 | 3回 |
| 治療方法 | ジルコニア |
| 費用 | 104,500円(税込み) |
| デメリット・注意点 | 自費診療のため費用がかかる |
審美歯科の症例②

治療前

治療後
| 主訴 | 前歯の見た目が気になる。歯ぐきの黒ずみを綺麗にしたい。 |
|---|---|
| 年齢・性別 | 37歳・男性 |
| 治療期間・回数 | 7回 |
| 治療方法 | 根面カリエスのCR充填 |
| 費用 | 保険適用 |
| デメリット・注意点 | 知覚過敏のリスクあり |
審美歯科の症例③

治療前

治療後
| 主訴 | 前歯の見た目が気になる。歯ぐきの黒ずみを綺麗にしたい。 |
|---|---|
| 年齢・性別 | 39歳・女性 |
| 治療期間・回数 | 3回 |
| 治療方法 | 審美修復・CAD冠 |
| 費用 | 保険適用 |
| デメリット・注意点 | 知覚過敏のリスクあり |
審美歯科の症例④

治療前

治療後
| 主訴 | 上顎の前歯の被せ物を作り変えたい。 |
|---|---|
| 治療期間・回数 | 3回 |
| 治療方法 | ワックスアップ・ジルコニア |
| 費用 | 199,760円(税込み) |
| デメリット・注意点 | 自費診療のため費用がかかる。 |
審美歯科の症例⑤

初診時(模型)

ワイヤー矯正時(模型)

ワイヤー矯正終了時

治療後
| 主訴 | 上顎の被せ物を作り変えたい。 |
|---|---|
| 治療期間・回数 | 3回 |
| 治療方法 | 上顎ワイヤー矯正 上顎左側3番~右側3番 ジルコニアブリッジ(6歯分) |
| 費用 | 上顎ワイヤー矯正:150,000円 調整料:42,000×Tax ファイバーコア3本(土台)10,000×3=30,000×Tax ジルコニア6本75,000×6=450,000×Tax |
| デメリット・注意点 | 自費診療のため費用がかかる。 |
審美歯科の症例⑥

治療前

治療後
| 主訴 | 前歯の被せ物を作り変えたい。 |
|---|---|
| 治療期間・回数 | 3回 |
| 治療方法 | 上顎左右1番 CAD冠・ホワイトニングを併用 |
| 費用 | 保険適用 ※ホワイトニング費用は別途 |
| デメリット・注意点 | 強い力がかかると欠ける場合がある。 |
審美歯科の症例⑦

治療前

治療後
| 主訴 | 前歯の黒ずみが気になる |
|---|---|
| 治療期間・回数 | 4回 |
| 治療方法 | 上顎前歯右2番~左2番 セラミック&ファイバーコア |
| 費用 | 343,000円 |
| デメリット・注意点 | 強い力がかかると欠ける場合がある。 |
審美歯科の症例⑧

治療前

治療後
| 主訴 | 前歯の見た目が気になる |
|---|---|
| 治療方法 | コンポジットレジン治療 |
| 費用 | 保険適用 |
| デメリット・注意点 | レジンのため、汚れが付きやすい。強い力がかかると欠ける場合がある。 |
審美歯科の症例⑨

治療前

治療後
| 主訴 | 前歯の見た目が気になる |
|---|---|
| 治療方法 | 右上2~2 ジルコニア |
| 費用 | ジルコニア 90,000×4=360,000 ファイバーコア 10,000 仮歯 6,000 合計 376,000×Tax =413,600円 |
| 備考 | 左上2番が欠損している為、左上3番の幅が大きいのと前歯が左に傾いていたのを改善。 |
| デメリット・注意点 | 強い力がかかると欠ける場合がある。 |
審美歯科の症例⑩

初診時(他院で根の治療途中の状態)

根管治療後

治療前

治療後(補綴セット後)
| 主訴 | 前歯の根管治療途中 |
|---|---|
| 治療方法 | 根管治療・補綴セット |
| 備考 | 前歯の根の治療途中で来院されました。 根先の炎症像が無くなりましたのでお薬を充填しました。 |
| デメリット・注意点 | 強い力がかかると欠ける場合がある。 |
審美歯科の症例⑪

初診時

治療後
| 主訴 | 見た目が気になる |
|---|---|
| 性別 | 36歳/女性 |
| 治療方法 | 右上2番~反対側1番 CAD冠 |
| 治療回数 | 4回 |
| デメリット・注意点 | 強い力がかかると欠ける場合がある。 |
審美歯科(セラミック)の種類
ジルコニア
整形外科などで義肢に使われるほど、体にやさしい素材。
それがジルコニアです。歯の本数やかみ合わせなどを問わず、さまざまな箇所に使えるのがメリットと言えます。特に奥歯などの噛む力が強い場所には、ジルコニアがおすすめです。
料金
メリット
- 白く自然な透明感があり、装着している際の違和感がない。
- 金属アレルギーの心配がない。
- 高い耐久性を持っている。
- 長期使用した場合でも変色に強い。
デメリット
- 自費診療になるため、保険診療に比べ費用がかかる。
e-max
天然歯に近い硬さを持ち、対合歯を傷める心配が少ない素材です。透明感に優れているため、見た目を重視する患者様から好評をいただいています。
料金
メリット
- 白く自然な透明感があり、装着している際の違和感がない。
- 金属アレルギーの心配がない。
- 長期使用した場合でも変色に強い。
デメリット
- 自費診療になるため、保険診療に比べ費用がかかる。

